超音波検査詳細
腹部超音波検査 [超音波検査詳細]
腹部超音波検査について
今日、超音波検査は非常に進歩し、人の医療分野と同様に動物医療でも日常的に使われるとても有益な検査方法となっています。レントゲンと違って、超音波は体への影響がほとんどなく、約30分ほど横になっていただくだけです。(まれに、鎮静が必要です)
お腹の中の臓器を時計回りで順番に観察し、形、色に変化がないかなど、詳細に観察できます。数ミリのリンパ節や副腎などの検査も行います。
特に高齢(7歳以上)のワンちゃんネコちゃんは、腫瘍の発生率が高くなりますので、毎年の健康診断の1つとして受診されることをお勧めします。
血液検査に異常がでなくとも、超音波検査で発見されることもあり、早期発見につながります。
我々スタッフ一同、皆さまのお役に立てますように、日々努力して腕を磨いております。
お気楽にご利用ください。
以下が超音波検査概要です。
●肝臓
肝臓は、3つの部分(右側、中心、左側部)に分けて観察します。
この像は、肝臓の横断面・中心部周辺です。
肝臓の縦断面です。
白く縁取りされたのが、門脈です。
血管系(門脈:PV、肝静脈:HV)の状態を観察します。
肝臓(LIVER)と脾臓(SPLEEN)の色を比較して、異常の有無を確認します。
●胆嚢
画面中央黒く丸い袋が胆嚢です。
胆嚢内の貯留物や胆石の有無、胆嚢壁の厚さを検査します。
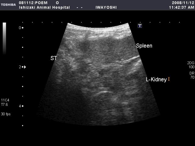
●脾臓
脾臓も、3つの部分(脾頭部、脾体部、脾尾部)に分けて検査します。
この像は、脾臓の頭の部分です。
脾体部・脾尾部を順に追っかけながら観察。
腎皮質(L-KID)と脾臓の組織の色を比較しそれぞれの異常の有無を観察します。
●腎臓・副腎
左腎、左副腎の縦断面です。
腎臓の全体の観察と、腎臓の縦断面、横断面における大きさを計ります。
腎の皮質・髄質、血管、結石等の有無を確認します。
また、腎腹側に存在する副腎の観察と計測を行います。
右腎と右副腎の横断面です。
後大静脈(CVC)の10時の方向に右副腎(R-AG)が見えます。
左腎と同じく観察します。
肝臓(LIVER)と腎皮質(R-KID)との色の比較を行います。
●膀胱
膀胱の横断、縦断面から、粘膜の状態、結石、浮遊細胞成分、腫瘤などを観察します。
●胃・腸
胃底、胃体、幽門と分けて観察します。
また、胃(ST)の内腔・粘膜・粘膜下織・筋層・漿膜の5層構造の状態を観察します。
腫瘍や異物等の発見に役立ちます。
胃と同様に小腸(SMALL IN)の5層構造を確認します。
炎症性腸炎では粘膜層が肥厚し、腫瘍では5層構造が消失します。
●膵臓
胃(ST)と脾臓(SPLEEN)の間の三角部に膵臓左葉を確認します。
膵炎、腫瘍などが無いと、通常は見えません。
●リンパ節
腹部の腰骨下リンパ節の大きさを観察します。
膀胱、前立腺、肛門周囲の腫瘍では、必ずこの検査をして、リンパ節腫大の有無をチェックします。
超音波検査は、通常予約制です。
お電話、あるいは受付で希望日をお申し込みください。
















